티스토리 뷰
목차
매년 가을부터 봄까지는 마이코플라즈마 폐렴 전염 시즌이죠. 아이들 키우는 입장에서 조마조마하지 않을 수 없습니다. 마이코플라즈마 폐렴 전염은 전염성이 높고, 잘 낫지도 않아서 입원하는 케이스가 대부분인데 조기 진단과 적절한 치료가 중요합니다. 시기를 놓치면 어린아이가 굉장히 고생하거든요.
오늘은 마이코플라즈마 폐렴 전염 치료 방법에 대해 아이들 키우며 직접 겪은 사례를 소개할 테니 집중하세요!
마이코플라즈마 폐렴이란?
보통의 폐렴은 세균 감염에 의한 폐렴과 바이러스성 폐렴으로 구분됩니다. 다만 마이코플라즈마 폐렴은 바이러스와 세균의 형태를 두루 갖춘 마이코플라즈마균에 의한 감염이 원인입니다. 마이코플라즈마 폐렴은 면역이 약한 영유아기 어린이에게 흔히 발생하는 질병으로 원인균의 형태는 세포벽이 없어 일반적인 항생제나 약물에 내성을 갖는 특징이 있습니다.



마이코플라즈마 폐렴 전염 경로
마이코플라즈마 폐렴 전염은 주로 호흡기 비말을 통해 퍼집니다. 쉽게 말하자면 콧물, 침 등에 의한 분비물로 쉽게 전파되는 특징이 있습니다. 감염된 사람이 재채기를 하면 마이코플라즈마균이 공기를 통해 이동하여 주변 사람에게 균을 옮기는 방식으로 전염됩니다. 주로 어린이집, 유치원, 초등학교 등 집단생활을 하는 곳에서 단체 감염이 자주 발생합니다.
1~2주 정도의 잠복기가 있고, 3~4주 지속됩니다. 마이코플라즈마 폐렴 전염 증상을 보이지 않더라도 균을 퍼뜨리기 때문에 예방하기가 어려운 점이 있습니다. 증상이 시작되고 20일 정도까지 마이코플라즈마 폐렴 전염이 된다고 알려져 있습니다.
마이코플라즈마 폐렴 증상
마이코플라즈마 폐렴 전염 증상은 심각도가 매우 다양하게 나타납니다.
일반적으로 나타나는 마이코플라즈마 폐렴 전염 증상에 대해 나열하겠습니다.
✅ 지속적인 마른기침을 유발합니다. 기침은 대개 2주 정도 지속됩니다.
✅ 목에 통증을 유발합니다.
✅ 37~38℃ 고열이 생깁니다. 단, 영유아기 어린이의 경우 더 높은 고열이 발생할 수 있습니다.
✅ 대개 감기와 비슷한 양상으로 시작하고, 서서히 통증이 강해집니다.
✅ 폐렴 증상이 악화되면서 흉통과 호흡관란을 초래할 수 있습니다. 환자들 중 약 10% 내외 정도가 폐렴 증상으로 악화된다는 통계가 있습니다.
마이코플라즈마 검사 방법
마이코플라즈마 폐렴 전염 검사 방법은 여러 가지가 있습니다. 먼저 병원을 내원해야 테스트를 진행할 수 있습니다.
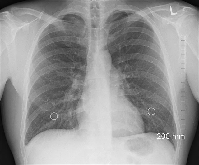
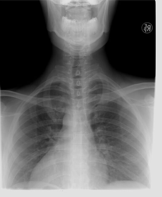
첫째, 엑스레이를 촬영해 흉부에 염증이 있는지 확인합니다.
둘째, 혈액검사를 통해 마이코플라즈마균에 반응하는 DNA가 있는지 확인합니다.
셋째, PCR 테스트를 통해 확인합니다. 콧속 깊은 곳에 체액을 채취해 확인합니다.
넷째, 의사가 청진기를 통해 숨소리를 듣고 확인합니다.
마이코플라즈마 폐렴 등교 시기
아이가 마이코플라즈마 폐렴 전염 되어 치료를 받았다면 학교, 어린이집, 유치원 등 교육기관에 제출해야 할 서류가 있습니다. 바로 치료받은 병원으로부터 '완치 판정서'를 발급받아 제출해야 하는데요.
마이코플라즈마 폐렴 증상의 특징 중 하나가 전염성이 높기 때문이에요. 아이들은 단체 생활을 많이 하기 때문이죠. 학교 등교나 어린이집 등원, 학원 등원을 할 때 해당 교육기관에서 완치판정서 제출을 요구하기도 합니다.
마이코플라즈마 폐렴은 기침 등 증상 시작 후 20일 정도까지 전염이 가능하다고 알려져 있으니 완치판정을 받기 위해서는 3~4주 정도 소요 될 것으로 보여요.
우리 아이들의 경우 5~6세 때 마이코플라즈마 폐렴 전염이 되었는데 첫째 아이가 완치되면 둘째 아이가 시작되고, 둘째 아이가 나으면 다시 첫째 아이가 옮는 바람에 두 달 정도 병원 신세를 경험하기도 했어요.






맺음글
마이코플라즈마 폐렴은 면역력이 낮은 영유아, 어린이, 노인 연령에서 치명적입니다. 건강한 성인이라면 감기처럼 자연 치유되는 경우도 있다고 해요. 그렇지만 전염성이 가장 큰 문제이기 때문에 반드시 병원 진료를 받는 것이 좋습니다. 특히 어린이들은 마이코플라즈마균이 폐렴으로 넘어가는 경우가 많기 때문에 적절한 시기에 적절한 치료를 받는 것이 중요한데요. 감기와 증상이 비슷하기 때문에 마이코플라즈마 폐렴 증상과 특징을 반드시 숙지해서 우리 가족의 건강을 꼭 지켜주세요.











